Un eccezionale intervento di Neuroradiologia interventistica neurovascolare all’encefalo è stato effettuato all’Ospedale Cannizzaro di Catania su un bambino di 10 anni proveniente da Ragusa, affetto da una rara MAV (malformazione artero-venosa), che per la sede e la natura, se non diagnosticata e trattata, non gli avrebbe lasciato speranza di vita.

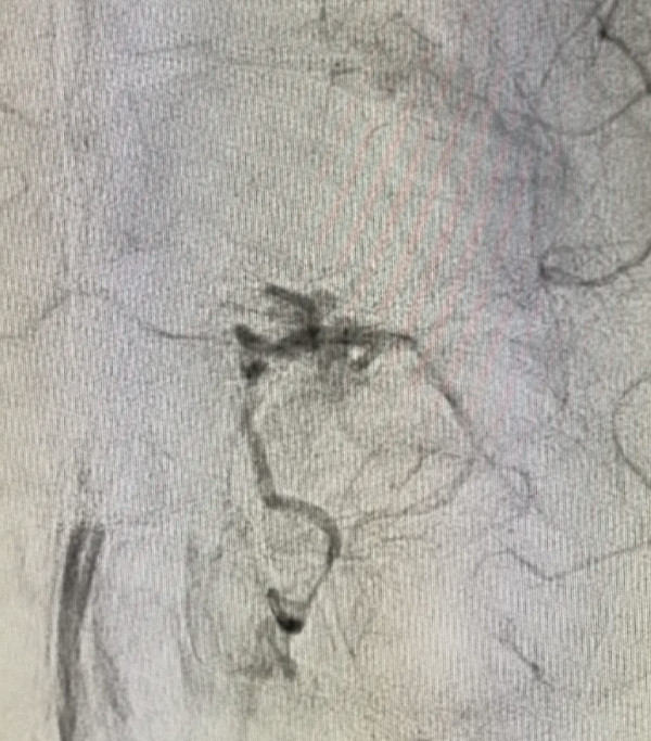
Il bimbo, infatti, nelle scorse settimane aveva accusato una forte cefalea, trattata inizialmente con antinfiammatori. Data la persistenza del disturbo, dopo visita pediatrica, era stato ricoverato all’ospedale di Ragusa, dove la prima risonanza aveva evidenziato un focolaio emorragico. Quindi, l’invio all’Ospedale Cannizzaro per il trattamento specialistico. Data l’età del paziente e la sede relativamente atipica dell’emorragia, il piccolo è stato sottoposto a risonanza magnetica che ha messo in evidenza una micro-MAV: un groviglio venoso nella “arteria ricorrente di Heubner”.

«Una MAV su questa arteria è rarissima e documentata da pochi casi in letteratura – spiega il prof. Concetto Cristaudo, direttore della Neuroradiologia dell’Azienda Cannizzaro e a capo dell’équipe che ha operato (nella foto) –. Il paziente era stato colpito da una emorragia nucleare antero basale e frontale posteriore sinistra, condizioni abbastanza gravi non tanto per la clinica silente quanto per la possibilità di un nuovo sanguinamento che avrebbe certamente portato alla morte. Di qui la difficoltà di riuscire a navigare strumentalmente questa arteria».

L’intervento, deciso dopo confronto con i neurochirurghi, è riuscito perfettamente. Grazie alla collaborazione del team di anestesisti, coordinato dalla dott.ssa Maria Concetta Monea, il bambino è stato sottoposto ad angiografia solo sedato con maschera laringea, e non intubato. Fondamentale anche la tempistica: i neuroradiologi interventisti, incrociati i dati con quelli della settimana precedente, hanno atteso il tempo minimo necessario che si detendesse l’emorragia e nello stesso tempo che si avesse certezza di intervenire sulla parte malata. «Si è trattato di un intervento ad elevatissimo rischio e complessità – aggiunge Cristaudo – con altissimo rischio di morte dovuto al materiale usato per il trattamento tramite catetere. Il bambino è stato embolizzato efficacemente, si è svegliato in giornata e il giorno successivo è stato ricoverato in Neurochirurgia». Ora gioca con i suoi videogiochi, mamma e papà accanto, e a breve potrà essere dimesso.

«Per questa tipologia di interventi, ogni anno mediamente intorno ai 200 nel nostro Ospedale – dice il dott. Salvatore Giuffrida, direttore generale dell’Azienda Cannizzaro – l’UOC di Neuroradiologia si avvarrà a breve del nuovo angiografo biplanare. Tale strumento diagnostico di altissima tecnologia permetterà, in ulteriore sicurezza, di avere due proiezioni nella stessa sequenza e dunque una risoluzione e “visione” di gran lunga migliori, nonché di potere dimezzare i tempi di esecuzione, con conseguente dimezzamento dei tempi di anestesia».

Il nuovo angiografo sarà presentato e inaugurato il prossimo 21 giugno, nel corso di un evento dedicato.